Krankenhaus Martha-Maria Halle-Dölau

Thoraxchirurgische Eingriffe, Diagnostik und Therapie

Behandlung von (Tumor-)Erkrankungen der zentralen Atemwege, der Lunge, der angrenzenden Organe und thoraxchirugische Eingriffe in der Klinik für Thoraxchirurgie am Krankenhaus Martha-Maria Halle-Dölau

Thoraxchirurgische Eingriffe und onkologische Untersuchungen von Atemwegen, Lunge und Co.: Unser Behandlungsangebot in Halle

Thoraxchirurgische Eingriffe und Erkrankungen der Lunge, der zentralen Atemwege und der angrenzenden Organe sind oftmals komplex und äußern sich durch eine Vielzahl an unterschiedlichen Symptomen.

Deshalb ist eine nicht-invasive und invasive thorakale und thoraxchirurgische Diagnostik und eine individuell angepasste Therapie wichtig, um Erkrankungen frühzeitig zu erkennen und erfolgreich zu behandeln.

Medizinische Schwerpunkte unserer Klinik für Thoraxchirurgie

In unserer Klinik für Thoraxchirurgie am Krankenhaus Martha-Maria Halle-Dölau bieten wir Ihnen deshalb das gesamte Spektrum an thoraxchirurgischen Eingriffen sowie die dazugehörigen Untersuchungen sowie konservativen und operativen Behandlungen auf Basis der aktuellen nationalen und internationalen Leitlinien.

Unsere medizinischen Schwerpunkte liegen in den folgenden Bereichen:

direkt zum regionalen Lungenkrebszentrum

Die häufigsten Diagnosen in der Thoraxchirurgie

In unserer Klinik für Thoraxchirurgie werden sämtliche gutartigen und bösartigen Erkrankungen der zentralen Atemwege, der Lungen, des Mediastinums und der Brustwand einschließlich angrenzender Organe behandelt.

Zu den häufigsten Diagnosen gehören das Bronchialkarzinom, Lungenmetastasen sowie gutartige Tumoren. Weitere Behandlungsverfahren der Klinik umfassen die Chirurgie bei Lungenemphysem, Pleuraempyem, Myasthenie, Mediastinaltumoren und thorakalen Verletzungen.

Interdisziplinäre Tumorkonferenz

Tägliche interdisziplinäre Besprechungen stellen eine kompetente fachliche Beurteilung ambulanter Patienten bereits bei Erstkontakt sicher.

Alle Patienten mit onkologischen Erkrankungen der Thoraxorgane werden in der wöchentlichen interdisziplinären Tumorkonferenz (Lungenkrebszentrum und Kooperationspartner) diskutiert. Die resultierende individuelle Therapie-Empfehlung ist bindend für alle an der Behandlung Beteiligten.

direkt zum onkologischen Zentrum

Video- und roboterassistierte Operationen

Zunehmend kommen die sogenannten videoassistierten, minimal-invasiven Verfahren (Schlüsselloch-OP, VATS) zur Anwendung. Die minimal-invasive Lobektomie (VATS-Lobektomie) wird als Standard-Operationsmethode beim peripheren Lungenkrebs angeboten.

Seit Mai 2017 verfügt unser Krankenhaus über den neuesten in Sachsen-Anhalt verfügbaren Operationsroboter da Vinci Xi, mit dem wir roboterassistierte Operationen anbieten können. 

direkt zum Zentrum für roboterassistiertes Operieren

Organüberschreitende Tumoren und insbesondere komplexe Resektionen der Lunge sowie rekonstruktive Eingriffe an Thoraxwand werden über offene Standardzugänge (Thorakotomie) operiert.

Modernste Verfahren und höchste medizinische Qualität

Die lungengewebesparende Laserchirurgie (Dioden-Laser, 1350nm) steht für besondere Resektionsverfahren – beispielsweise in der Metastasenchirurgie – zur Verfügung. Die sogenannte rauchfreie intrathorakale Laserchirurgie wurde durch eigene Mitarbeiter vom theoretischen Ansatz zur routinemäßigen praktischen Anwendung entwickelt.

Bei Bedarf werden chirurgische Eingriffe gemeinsam mit kooperierenden operativen Fachbereichen unseres Hauses (Traumatologie, HNO) oder des Klinikums Bergmannstrost in Halle (Neurochirurgie) durchgeführt.

Das traumatologische Spektrum der Klinik wird durch Einsatz verschiedener Operationsverfahren zur Behandlung von Rippen- und Sternumfrakturen abgedeckt. Auch Spätfolgen knöcherner Verletzungen am Thorax (Pseudarthrosen, Fehlstellungen, osteomyelitische Destruktionen etc.) können effizient behandelt werden.

Thorakale Laserchirurgie

Behandlung von Lungenmetastasen

Ungefähr jeder dritte Krebspatient entwickelt während des Krankheitsverlaufes Lungenmetastasen.

Bei einem Teil von ihnen ist nur die Lunge betroffen. Im interdisziplinären Beschluss – unter anderem mit Onkologen und Strahlentherapeuten – kann bei vielen Patienten ein kurativer (heilender) Behandlungsansatz unter Einschluss der Lungenmetastasenchirurgie gefunden werden.

Wann werden Lungenmetastasen operiert?

Die Zahl der Lungenmetastasen ist dabei nicht das entscheidende Kriterium, ob eine operative Entfernung sinnvoll ist. Unterschiedliche Faktoren wie Größe und Lage der Metastasen, die Zeitdauer zwischen dem Erst-Krebs und dem Auftreten der Metastasen, andere Möglichkeiten der Tumortherapie wie auch die Lungenfunktion oder weitere Erkrankungen (Herz-Kreislauf) spielen eine wichtige Rolle.

Zur Entfernung von Lungenmetastasen steht uns in unserer Klinik ein sehr modernes und leistungsfähiges Lasersystem zur Verfügung.

Laser-gestützte Entfernung von Metastasen der Lunge

Bei der Laserresektion von Metastasen wird das Gewebe mit gebündeltem Licht geschnitten. Damit kann man gleichzeitig das Gewebe schneiden. Es erfolgt die Blutstillung und das Gewebe wird versiegelt.

Mit dem Laserstrahl kann millimetergenau um die Metastase geschnitten werden. Dadurch wird gesundes Lungengewebe geschont. Durch die Hitze von etwa 700 Grad hat man auch noch eine Sicherheit einige Millimeter in die Tiefe.

Was umfasst die Lasermetastasenchirurgie?

  • Optimaler Erhalt von gesundem Parenchym der Lunge durch selektive, onkologisch sichere Schnittführung / Vaporisation mittels Laser
  • Millimetergenaue Resektion der Metastasen mit Sicherheitszone
  • Ausgezeichneter Koagulationseffekt, bluttrockene Resektionsfläche und luftdichten Gewebsverschluß
  • Resektion vieler Metastasen während einer OP

Minimal-invasive Thoraxchirurgie

Mit der Gründung des Kompetenzzentrums für minimal-invasive Thoraxchirurgie haben wir uns das Ziel gesetzt, aktuelle Trends der Thoraxchirurgie in Kombination mit innovativen Operationsmethoden in die klinische Praxis umzusetzen.

Vorteile der minimal-invasiven Schlüsselloch-Operationen

In der Vergangenheit wurden anatomische Lungenresektionen ausschließlich über eine Thorakotomie zwischen den Rippen durchgeführt. Dafür müssen allerdings Muskeln durchtrennt und die Rippen mit einem Thoraxsperrer auseinandergedrängt werden.

In der Klinik für Thoraxchirurgie am Krankenhaus Martha-Maria Halle-Dölau wird die Mehrzahl der Operationen minimal-invasiv über eine Brustkorbspiegelung (videoassistierte Thorakoskopie / videoassisted thoracic surgery; VATS) vorgenommen.

Der Vorteil dieser Operationsmethode besteht darin, dass erkranktes Lungengewebe und Lymphknoten schonend entfernt werden können, ohne die Atemmechanik zu beeinträchtigen.

Vielfache Studien zeigten bereits, dass eine derartige Vorgehensweise bei gleicher Effektivität und onkologischer Äquivalenz für die Patienten deutlich schmerzfreier und komfortabler ist. Darüber hinaus ist in vielen Fällen eine Verkürzung der Krankenhausverweildauer möglich.

Minimal-invasive VATS-Lobektomie

Ein besonderer Schwerpunkt unserer Klinik für Thoraxchirurgie ist die minimal-invasive Durchführung der technisch sehr anspruchsvollen, endoskopischen Lungenresektionen (VATS-Lobektomie) beim peripheren Bronchialkarzinom. Auch Tumoren des Mittelfellraumes können derart minimal-invasiv entfernt werden.

Bei diesem neuartigen Verfahren operiert der Chirurg durch zwei oder drei kleine Inzisionen videoassistiert. Die gesamte Operation einschließlich der systematischen Entfernung der Lymphknoten entlang der Luftröhre erfolgt unter Kamerasicht.

Mit speziellen, abwinkelbaren Klammernahtgeräten (Staplern) werden die Bronchien, die Blutgefäße und das Lungengewebe dicht verschlossen und durchtrennt. Anschließend können ganze Lungenlappen mit Hilfe eines Bergebeutels über den größten, etwa fünf Zentimeter langen Schnitt geborgen und intraoperativ histologisch untersucht werden.

Dieses Verfahren ist für Patienten deutlich schmerzarmer und reduziert durch die Möglichkeit einer frühzeitigen Mobilisation das Risiko postoperativer Komplikationen. Die Patienten können in der Regel bereits wenige Tage nach einer minimal-invasiven VATS-Lobektomie nach Hause entlassen werden.

Minimal-invasive intrathorakale Laserchirurgie

Die Anwendung laserchirurgischer Resektionsverfahren gehört bereits seit mehreren Jahren zum operativen Spektrum unserer Klinik für Thoraxchirurgie. Durch die Einführung einer eigenen speziellen Operationstechnik gelang es, die Vorteile der hocheffektiven parenchymsparenden Laserchirurgie am Lungengewebe mit der minimal-invasiven Technik zu vereinen.

Dadurch können insbesondere kleine, peripher gelegene Tumoren oder Metastasen unter Respektierung der anatomischen Strukturen der Lunge auch in Schlüsselloch- Technik exakt reseziert werden.

Referenzzentrum für intrathorakale Laserchirurgie

In enger Zusammenarbeit mit einer regionalen Firma mit internationalem Tätigkeitsfeld ist es gelungen, die Technik der intrathorakalen Laserchirurgie weiter zu verfeinern und zu optimieren.

Im Referenzzentrum für intrathorakale Laserchirurgie hospitieren zunehmend auch ausländische Kollegen, um diese spezielle technische Anwendung zu testen und in ihren eigenen Häusern einzuführen.

Roboterassistierte thorakoskopische Chirurgie (RATS)

Eine OP mit dem OP-Roboter da Vinci am Krankenhaus Martha-Maria Halle-Dölau

Die Klinik für Thoraxchirurgie bietet die neueste minimalinvasive Operationtechnik mit dem Da-Vinci-Robotersystem Xi der Firma Intuitiv Surgery an.

Nach der Etablierung der Roboterchirurgie seit Oktober 2017 in unserer Klinik wurde die operative Technik weiterentwickelt und verbessert, sodass heute die RATS-Operationstechnik ein breites minimalinvasives operatives Spektrum bei fast allen gutartigen sowie bösartigen Erkrankungen der Lunge, des Mediastinums und auch bei der Erkrankungen des Zwerchfells ermöglicht.

Aufgrund der hohen Akzeptanz und der steigenden Nachfrage der Patienten sind roboterassistierte Operationen heute fester Bestandteil unseres operativen Spektrums. Für die Zukunft wird eine Erweiterung der operativen Kapazitäten mit der Robotertechnik angestrebt.

Unser operatives Spektrum mit der RATS-Technik beinhaltet:

  • Operationen zur Behandlung von Lungenkarzinomen oder Lungenmetastasen (RATS-Lobektomie und anatomische Segmentresektion)
  • Operationen zur Behandlung von gutartigen Lungentumoren (atypische Lungenresektion)
  • Entfernung der Thumysdrüse (Thymektomie)
  • Entfernung von mediastinalen Tumoren oder mediastinale Zysten
  • Entfernung von gutartigen Pleuratumoren
  • Operationen des Zwerchfells (Zwerchfellplastik beim Zwerchfellhochstand)

Vorteile von roboterassistierten OPs

Eine gewissenhafte Auswahl der für die RATS-Operationen geeigneten Befunde und Patienten vorausgesetzt, bietet diese operative Technik In vielen Operationsindikationen Vorteile gegenüber der seit vielen Jahren etablierten VATS-Technik.

Zu nennen wären eine kürzere postoperative Verweildauer, geringere Schmerzen und bessere kosmetische Ergebnisse. Bei Fragen der chirurgischen und onkologischen Radikalität steht die Roboterchirurgie gegenüber der VATS-Technik oder konventionellen Thoraxchirurgie nicht nach.

Die Operateure beraten Sie vor einer Operation über die für Sie günstigste OP-Technik. Die roboterassistierte Operation ist beispielsweise für sehr kleine oder sehr kräftige Patienten mit sehr großen oder tief in der Lunge liegenden Tumoren möglicherweise nicht geeignet.

Thorakale Traumatologie

Verletzungen des Brustkorbes können bei vielen Unfällen (Arbeitsunfälle, Verkehrsunfälle oder Freizeitunfälle) auftreten und in Abhängigkeit des Unfallmechanismus von leichten Verletzungen bis zu lebensbedrohlichen Zuständen variieren.

Einfache Rippen- und Brustbeinfrakturen

Rippen- und Brustbeinfrakturen sind die häufigsten thorakalen Verletzungsfolgen, die in den meisten Fällen ohne Operation ausheilen.

Mehrfache oder Rippenserienfrakturen

Mehrfache Rippenfrakturen (Rippenserienfrakturen) können in ausgeprägten Fällen auch zu einem instabilen Brustkorb und einer Beeinträchtigung der Atemfunktion führen, sodass ein Verletzter künstlich beatmet werden muss.

In diesem Fall kann die operative Stabilisierung der Rippenfrakturen zu einer schnellen Verbesserung der Atemfunktion führen, sodass die Patienten wieder selbständig Luft holen können.

Schmerzlinderung nach Rippenfrakturen

Rippenfrakturen können jedoch auch zu ausgeprägten Schmerzzuständen führen. In diesen Fällen kann mit den betreffenden Patienten auch über eine operative Stabilisierung gesprochen werden, da durch die Operation die Schmerzsymptomatik deutlich gebessert und die Wiedereingliederung in Alltag oder Berufsleben deutlich verkürzt werden kann.

Zur Stabilisierung von Rippen- und Sternum-Frakturen stehen uns in unserer Klinik zwei verschiedene Osteosynthese-Systeme zur Verfügung.

Häufig bestehen bei Rippenfrakturen auch intrathorakale Verletzungsfolgen, die eine fachspezifische thoraxchirurgische Versorgung erfordern. Die Kombination der offenen Osteosynthese mit der minimal-invasiven Behandlung des regelhaft vorhandenen Hämatothorax und möglicher Lungenverletzungen im sogenannten Hybridverfahren minimiert das operative Trauma und optimiert das Behandlungsergebnis.

Spätfolgen von Brustkorbverletzungen

Nicht oder nicht optimal behandelt können Brustkorbverletzungen zu beeinträchtigenden Spätfolgen in Bezug auf die Lungenfunktion bis hin zur dauerhaften Berufsunfähigkeit führen.

Die entsprechenden osteosynthetischen Operationen führen wir vornehmlich im eigenen Haus durch. In zwingenden Fällen kooperieren wir jedoch auch mit anderen traumatologischen Zentren.

Sehr gute Behandlungsergebnisse konnten auch durch Korrekturoperationen bei Sternuminstabilitäten und symptomatischen Rippenpseudarthrosen erreicht werden.

Umgang und Behandlung von Patienten mit Polytrauma

Auf der Basis langjähriger Erfahrung in der Versorgung von Verletzungen des Brustkorbs bietet die Klinik für Thoraxchirurgie die erforderlichen Voraussetzungen für die suffiziente Frühversorgung auch polytraumatisierter Patienten.

In seltenen Fällen muss durch eine dringliche Operation bei lebensbedrohlichen Zuständen – insbesondere bei Blutungen – eingegriffen werden. Während der Polytraumaversorgung von Schwerstverletzten stehen wir dem BG-Klinikum „Bergmannstrost und der Uniklinik in Halle als Kooperationspartner rund um die Uhr zur Verfügung und operieren in diesen Krankenhäusern im Notfall vor Ort.

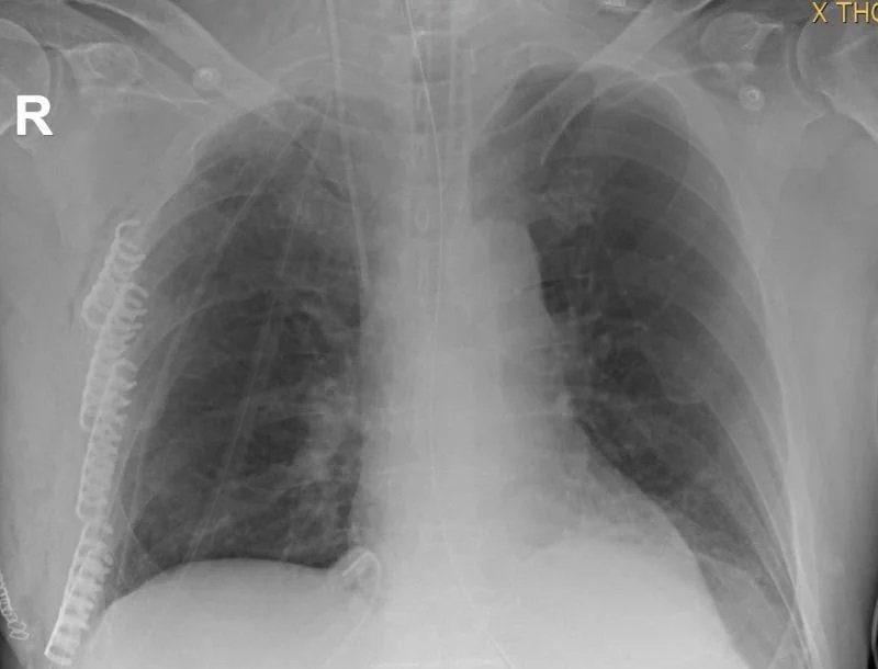
Patient nach Fahrradsturz mit Rippenserienfrakturen und Hämatothorax

Röntgenbild des Brustkorbs zur Diagnose thoraxchirurgischer Erkrankungen.

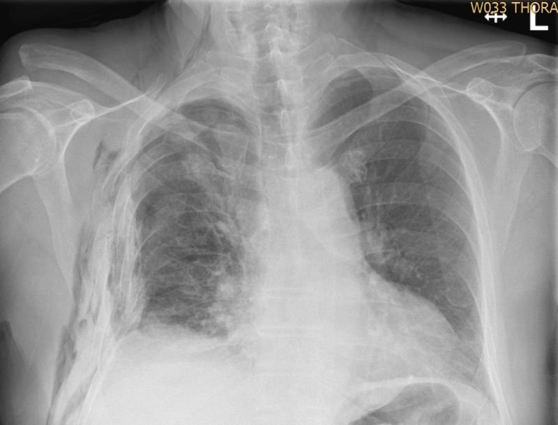
Röntgenbild am Tag nach der Operation

Besondere medizinische Behandlungsverfahren in der Thoraxchirurgie

Unser medizinisches Leistungsspektrum umfasst eine Reihe von besonderen medizinischen Behandlungsverfahren.

Dazu gehören:

  • Diagnostik und Operation von Lungenkrebs
  • Komplizierte erweiterte Lungenresektionen bei zentralem Lungenkrebs
  • Lungenparenchym sparende Operation von Lungenmetastasen (Laserchirurgie, Dioden-Laser 1350nm)
  • Operation von Tumoren und Einengungen der Luftröhre
  • Operation an der Thoraxwand 
  • Operation von Tumoren der Thoraxwand, Rezidiven und Strahlenschäden nach Brustkrebs einschließlich Haut- und Muskelverschiebelappenplastiken
  • Operation von entzündlichen und eitrigen Lungen-, Brustbein- und Brustwanderkrankungen
  • Behandlung und Operation bei Eiteransammlung im Brustkorb (Empyem) und Mediastinum (Mediastinitis)
  • Operation von tuberkulösen Lungen- und Rippenfellerkrankungen
  • Operation von bösartigen Rippenfellerkrankungen (Pleuramesotheliom, Karzinose)
  • Operation von Tumoren des Mittelfelllraumes (Keimzelltumore, Desmoide, Thymome,Zysten, Strumen) einschließlich Gefäßersatzoperationen
  • Operation am Zwerchfell (Raffung, Hernien, Rupturen)

Auch bei der sogenannten Schlüssellochchirurgie (minimal-invasive Chirurgie/VATS) kommen in unserer Klinik für Thoraxchirurgie einige besondere medizinische Behandlungsverfahren zum Einsatz.

Dazu zählen:

  • Lungenkrebs im Frühstadium (VATS-Lobektomie)
  • Videoassistierte mediastinale Lymphknotenentfernung (VAMLA)
  • Débridement bei Rippenfellvereiterung
  • Diagnostik unklarer Veränderungen der Lunge (Rundherd)
  • Tumoren des Mediastinums, VATS-Thymektomie bei Myasthenie
  • Pleurakarzinose: Pleurektomie / Pleurodesen
  • Lungenriss (Spontanpneumothorax)
  • Erkrankungen der Speiseröhre
  • Lungenüberblähung (Volumenreduktion)
  • Hämatothorax (Blutansammlung im Brustraum)
  • Sympathektomie bei Hyperhidrosis (vermehrtes Schwitzen an Kopf, Händen und Armen) und bei Durchblutungsstörungen
Unterstützung gesucht

Unterstützen Sie unsere gemeinnützigen Projekte.

Jetzt spenden Projekte kennenlernen

Fachbereiche
Zurück
Fachbereiche Kliniken Zentren Institute Abteilungen Ambulanter Pflegedienst Medizinische Versorgungs-Zentren
Patienten & Angehörige
Zurück
Pflege
Zurück
Krankenhaus
Zurück
Kontakt
Karriere Alle Infos Alle Jobs