Krankenhaus Martha-Maria Halle-Dölau

Informationen für Ärzte

Die Klinik für Thoraxchirurgie am Krankenhaus Martha-Maria Halle-Dölau setzt auf Kooperationen, Mitarbeit in Zentren und bietet wissenschaftliche Projekte für Ärzte an

Zusammenarbeit und Forschung in der Thoraxchirurgie

Wie in allen medizinischen Bereichen ist auch in der Thoraxchirurgie stetige Forschung und Weiterentwicklung essenziell, um höchste medizinische Qualität zu garantieren und somit die beste Behandlung für Patienten bei thoraxchirurgischen Eingriffen und Operationen zu gewährleisten.

Unser innovativer Fokus teilt sich in drei Schwerpunkte auf:

Doktorant*in gesucht

Fachübergreifende Promotion: Thoraxchirurgie – Pneumologie – Onkologie - Pathologie

 

Retrospektive multizentrische Studie: 

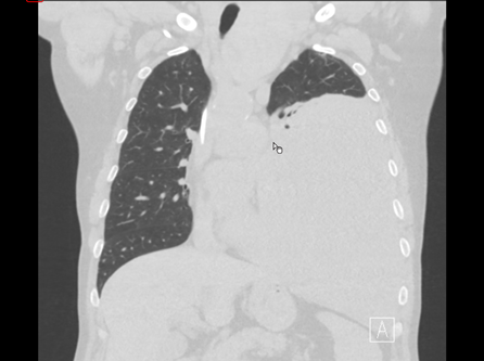
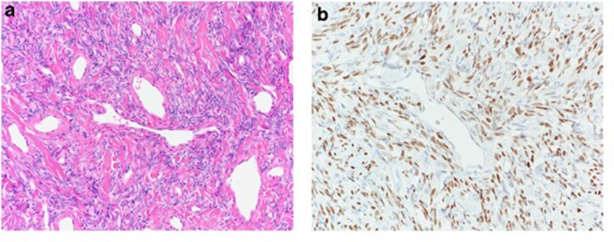
„Ergebnisse der Therapie von Solitären Fibrösen Pleuratumoren (SFP), Vergleich extrathorakaler und thorakaler Tumore“

 

Hintergrund:

  • SFP werden als niedrigmaligne Sarkome eingestuft (molekularpathologisch NAB2–STAT6  Fusion)
  • steigende Inzidenz insbesondere auch ungünstiger Verlaufe

 

Ziel:  

- Weiterentwicklung von Risiko-Scores hinsichtlich postoperativer Nachkontrollen

- Auswertung der molekularpathologischen Ergebnisse

- Hinweise für innovatische systemische Therapieoptionen

 

Kooperation mit dem UKH (Pneumologie, Pathologie), Lungenklinik Treuenbrietzen, Emil v. Behring Berlin

Ethikantrag für Halle liegt vor (positives Votum)

  • eigenständige wissenschaftliche Arbeit, zeitnahe direkte Betreuung

 

Kontakt:

Marcus.Krueger@martha-maria.de oder 
Niels.Doerr-Jerat@martha-maria.de

Promotionen

Präoperative Risikostratifizierung von Lungenherden unklarer Dignität mittels CDT-Test bei klinischem Verdacht auf ein Lungenkarzinom

  • Klinische Validierung des CDT-Tests bei unklaren Lungenherden mit anschließender histologischer Analyse am operativen Resektionspräparat

experimentelle multizentrische Studie gemeinsam mit den HELIOS Kliniken Wuppertal und Erfurt und der Klinik für Pneumologie Martha-Maria Halle-Dölau

Ergebnisse der Lungenmetastasenchirurgie

  • Lokalrezidive nach atypischer Lungenteilresektion mittels Klammernahtgerät (sog. Klammernahtrezidive) im Rahmen der Lungenmetastasenchirurgie – Risikofaktoren und Einfluss auf das onkologische Outcome
  • Retrospektive Analyse in Kooperation mit den thoraxchirurgischen Kliniken der Lungenklinik Treuenbrietzen und der Medizinischen Hochschule Hannover (MHH)

Modifizierter Thorakotomie-Verschluss zur Vermeidung chronischer postoperativer Schmerzen

  • Experimentelle Arbeit in Kooperation mit der Klinik für Neurologie Martha-Maria Halle-Dölau

Chronische Schmerzen nach thoraxchirurgischen Operationen: Objektivierung der zugrundeliegenden Schädigung von Interkostalnerven durch magnetisch evozierte motorische Potentiale (MEP)

  • Experimentelle Arbeit in Kooperation mit der Klinik für Neurologie Martha-Maria Halle-Dölau

Ergebnisse der chirurgischen Therapie des Pleuraempyems

  • Retrospektive Analyse der Ergebnisse thoraxchirugischer Operationen in der Behandlung des Pleuraempyems
  • Prospektive Erfassung der Lungenfunktion nach thoraxchirugischen Operationen wegen eines Pleuraempyems
  • Kooperation mit der Klinik für Pneumologie des Krankenhauses St. Elisabeth und St. Barbara Halle

Wissenschaftliche Projekte und Studien

Molekulare Signaturen im nicht-kleinzelligen Lungenkarzinom

  • Ziel: Molekulare Marker für die Prognose, das Therapieansprechen und das Verlaufs-Monitoring von Patienten mit einem Lungenkarzinom
  • Multizentrische, interdisziplinäre Studie, Studienleitung: Signature Diagnostics GmbH

Lungenmetastasenchirurgie – multizentrische Auswertung der Ergebnisse nach Mehrfach-Operationen wegen pulmonaler Metastastasen

  • Retrospektive Analyse in Kooperation mit der Lungenklinik Treuenbrietzen und der Medizinischen Hochschule Hannover (MHH)

Eignung verschiedener 3D in-vitro-Modelle zur inhalationstoxikologischen Bewertung von Nanopartikel-Aerosolen am Beispiel von Bariumsulfat

  • Kooperation mit dem Institut für Umwelttoxikologie (MLU) und der Technische Universität Ilmenau, Fakultät für Mathematik und Naturwissenschaften, Institut für Chemie und Biotechnik, Fachgebiet Nanobiosystemtechnik (TUILM)

Solitäre fibröse Pleuratumoren – retrospektive, multizentrische Analyse des Langzeitverlaufes nach chirurgischer Tumorresektion histologisch benigner und maligner Tumoren

  • Retrospektive Analyse in Kooperation mit Institut für Pathologie Martha-Maria Halle-Dölau, dem Institut für Pathologie des UKH, den thoraxchirurgischen Kliniken der Lungenklinik Treuenbrietzen und der Medizinischen Hochschule Hannover (MHH)

Mitarbeit in Zentren

Regionales Lungenkrebszentrum Martha-Maria Halle-Dölau - Lungenklinik Ballenstedt

Regionales Lungenkrebszentrum Martha-Maria Halle-Dölau - Lungenklinik Ballenstedt

weitere Informationen
Onkologisches Zentrum Martha-Maria Halle-Dölau

Onkologisches Zentrum Martha-Maria Halle-Dölau

weitere Informationen
Mitglied im deutschen Lungenemphysemregister e.V. (Hauptkoordinator für das Emphysemzentrum Halle – Dr. Eisenmann UKH)

Mitglied im deutschen Lungenemphysemregister e.V. (Hauptkoordinator für das Emphysemzentrum Halle – Dr. Eisenmann UKH)

Kooperationen

Die Klinik für Thoraxchirurgie am Krankenhaus Martha-Maria Halle-Dölau ist langjähriger Kooperationspartner der folgenden Einrichtungen:

Fachbereiche
Zurück
Fachbereiche Kliniken Zentren Institute Abteilungen Ambulanter Pflegedienst Medizinische Versorgungs-Zentren
Patienten & Angehörige
Zurück
Pflege
Zurück
Krankenhaus
Zurück
Kontakt
Karriere Alle Infos Alle Jobs